Noutăți
Dr. Anaid Strugaru
timp de citire • 20 min
Sialoreea, cunoscută și sub numele de salivare excesivă sau hipersalivatie, reprezintă o afecțiune caracterizată prin producția și secreția excesivă de salivă.
Dr. Anaid Strugaru
timp de citire • 17 min
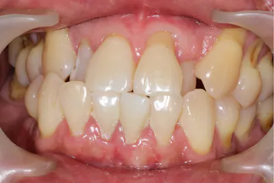
Sângerarea gingivală reprezintă o eliberare anormală de sânge din gingii, adesea observată în timpul periajului sau folosirii aței dentare, și este, de obicei, un semn de afecțiuni ale gingiilor cum ar fi gingivita sau boala parodontala.
Echipa DHC
timp de citire • 7 min
MADRID - Cercetări recente au confirmat impactul bolii parodontale asupra riscului de boli neurologice, în special riscurile crescute pentru accident vascular cerebral și boala Alzheimer.
Dr. Marina Totolan
timp de citire • 8 min
Candida este prezentă în microflora cavității orale la indivizii sănătoși, fiind astfel considerată o bacterie comensală.
Dr. Iulia Velicu
timp de citire • 7 min
Limba albă încărcată este o afecțiune în care suprafața limbii devine acoperită cu un strat albicios sau cenușiu, dând senzația de încărcare sau acoperire a limbii.
Dr. Anaid Strugaru
timp de citire • 8 min
Retractia gingivala este o afecțiune comună în care gingia, țesutul care înconjoară și susține dinții, se retrage de pe suprafața dintelui, dezvăluind rădăcina acestuia.
Servicii complete de stomatologie, deschis 7 zile din 7, si programări online

Servicii complete de stomatologie, deschis 7 zile din 7, si programări online

Centrele noastre sunt deschise 7 zile pe săptămână pentru ca tu să beneficiezi de serviciile noastre în timpul tău liber.
7 zile
pe săptămână
De ce noi?
Primul centru de întreținere a zâmbetului frumos, curat, si alb.





