Sigilarea dentară la copii
Fără frazare și fără anestezie
Primul centru de igienizare Dentară din România! Programări online

Primul centru de igienizare Dentară din România! Programări online

Centrele noastre sunt deschise 7 zile pe săptămână pentru ca tu să beneficiezi de serviciile noastre în timpul tău liber.
Pret sigilare dentara
250 RON
Ce este sigilarea dentară ?
Sigilarea dentară este o procedură terapeutică care are ca scop prevenirea formării și progresiei cariilor dentare la dinții temporari și permanenti.

Unde apar cel mai frecvent cariile dentare?
Cariile dentare apar cel mai frecvent în șanțurile și fosetele ocluzale de pe suprafața premolarilor și molarilor superiori și inferiori, care reprezintă zone cu susceptibilitate crescută la atacul cariogen datorită morfologiei complexe a dinților. Aceste zone pot avea forme diverse, de la foarte largi la foarte adânci, iar resturile alimentare rămase aici pot determina înmulțirea bacteriilor și inițierea procesului de demineralizare a smalțului, care poate duce la apariția cariei dentare în absența măsurilor preventive adecvate. În general, cariile dentare apar mai frecvent la copii, care au o alimentație bogată în dulciuri și o igienă dentară precară din cauza lipsei de conștientizare a importanței periajului dentar.
La ce vârstă se recomandă sigilarea dentară și de ce?
Se recomandă sigilarea dentară în principal copiilor și adolescenților cu vârste cuprinse între 6 și 14 ani, după erupția completă a dinților. Aceștia prezintă o morfologie a dinților susceptibilă la atacul cariogen, iar prin sigilare se pot obtura căile de pătrundere ale bacteriilor și se reduce riscul de apariție a procesului carios.
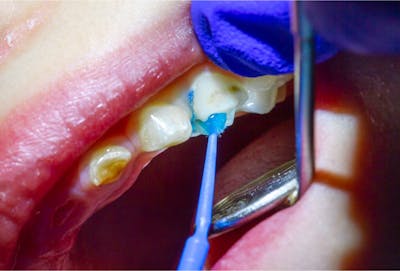
Cum se realizează sigilarea dentară și ce rol are materialul folosit?
Sigilarea dentară constă în umplerea șanțurilor și fosetelor cu un material fluid care se întărește prin fotopolimerizare. Materialul are multiple roluri, printre care previne atacul cariogen prin acoperirea șanțurilor și fosetelor și împiedicându-se astfel retenția alimentelor, facilitează igiena dentară și protejează dintele. Înainte de aplicarea materialului, dintele trebuie să fie curățat perfect, iar ulterior se aplică un gel, acidul fosforic, care creează niște microporozități ce facilitează pătrunderea sigilantului. În final, materialul pentru sigilare este aplicat în forma fluidă și este fotopolimerizat cu lampa până când se întărește.
Cum se verifică și se mențin sigilările dentare?
După aplicarea sigilantului, se verifică să nu existe zone retentive sau goluri care pot favoriza acumularea de resturi alimentare, iar la final se netezește sigilarea cu ajutorul unor gume speciale. Perioada de menținere a sigilărilor este de aproximativ 2-3 ani, dar se recomandă ca acestea să fie verificate o dată la 6 luni pentru a se asigura că sunt întregi. Dacă integritatea lor se pierde în timp, ele se completează, deoarece resturile alimentare pot declanșa apariția cariilor. De menționat este că sigilantul dentar poate avea diverse culori, ceea ce îl face atractiv pentru copii și util pentru medic, deoarece poate fi ușor verificat la controalele periodice. În cazul în care dintele prezintă modificări de culoare, se poate realiza enameloplastia înaintea aplicării sigilantului.
Cele mai frecvente întrebări despre sigilarea dentară :
1. Sunt necesare mai multe ședințe pentru sigilarea dentară?
De obicei, sigilarea dentară se poate realiza într-o singură ședință la cabinetul stomatologic. Cu toate acestea, numărul de ședințe poate varia în funcție de numărul de dinți care trebuie sigilați și de gradul de colaborare al pacientului. În unele cazuri, pacientul poate avea nevoie de mai multe ședințe pentru a finaliza sigilarea dinților.
De asemenea, este important să menționez că sigilarea este un proces care nu necesită anestezie și nu este dureros. Este o procedură rapidă și simplă, care poate fi efectuată de către medicul stomatolog sau de către igienistul dentar.
2. Cât timp durează procedura de sigilare a dinților?
Durata procedurii de sigilare a dinților poate varia în funcție de numărul de dinți care trebuie sigilați și de complexitatea formei lor. În general, sigilarea unui dinte poate dura între 10 și 30 de minute. Dacă sunt necesare mai multe sigilări, procedura poate dura mai mult timp. Este important să acordați dentistului suficient timp pentru a efectua procedura în mod corespunzător și cu atenție la detalii.
3. Ce fel de material se folosește pentru sigilarea dentară?
Pentru sigilarea dentară se utilizează de obicei un material plastic fluid, denumit sigilant dentar, care se întărește prin fotopolimerizare sub acțiunea unei lampe speciale. Acest material este biocompatibil și sigur pentru utilizare în cavitatea orală. Sigilantul poate fi transparent sau colorat în diferite nuanțe (de exemplu roz, albastru sau verde), astfel încât să se poată verifica ușor la controalele periodice. De asemenea poate avea diferite arome precum pepene galben sau căpșuni astfel încât să fie atractiv pentru copii.
Care sunt riscurile și efectele secundare ale sigilării dentare?
Sigilarea dentară este o procedură comună, minim invazivă și considerată în general sigură. Este utilizată frecvent la copii pentru a preveni dezvoltarea cariilor pe suprafețele de mestecat ale dinților molari și premolari.
Cu toate acestea, ca și în cazul oricărei proceduri medicale, există câteva potențiale riscuri și efecte secundare, deși acestea sunt destul de rare:
- Alergii: Unii pacienți pot avea alergii la materialele utilizate pentru sigilare. Deși aceasta este o situație foarte rară, dacă știți că aveți o alergie la anumite tipuri de rășini sau plastic, trebuie să informați medicul stomatolog înainte de procedură.
- Pierderea sau deteriorarea sigilărilor: Sigilările dentare nu sunt permanente și pot deveni uzate sau pot cădea de-a lungul timpului. Dacă acest lucru se întâmplă, bacteriile pot intra sub sigilare și pot cauza carii. De aceea, este important să aveți controale dentare regulate pentru a vă asigura că sigilările sunt în stare bună.
- Nu înlocuiesc o bună igienă orală: Deși sigilările pot ajuta la prevenirea cariilor, ele nu înlocuiesc necesitatea unei bune igiene orale. Periajul regulat, folosirea aței dentare și controalele dentare regulate sunt esențiale pentru menținerea sănătății orale.
În general, beneficiile sigilării dentare depășesc cu mult eventualele riscuri. Procedura poate ajuta la prevenirea cariilor, care pot fi dureroase și pot necesita tratamente mult mai costisitoare și invazive dacă nu sunt tratate la timp.
De ce noi?
Primul centru de întreținere a zâmbetului frumos, curat, si alb.


