Noutăți
Dr. Anaid Strugaru
timp de citire • 6 min
Infectia dentara este o problemă cu impact semnificativ asupra sănătății orale și generale a pacienților. Aceasta poate lua diferite forme și afecta structurile orale, cum ar fi dinții, gingiile și țesuturile de suport.
Dr. Iulia Velicu
timp de citire • 6 min
Menținerea dinților și a gingiilor sănătoase nu doar că ne asigură un zâmbet strălucitor, ci contribuie și la prevenirea atat a unor afecțiuni dentare cat și a unor afectiuni sistemice grave.
Dr. Anaid Strugaru
timp de citire • 18 min
Dinții de lapte reprezintă o etapa importanta in dezvoltarea copiilor, contribuind la procesul de mestecare, vorbire si susținerea sănătății dentare pe termen lung.
Dr. Anaid Strugaru
timp de citire • 23 min
Petele albe pe dinti apar ca zone decolorate de culoare albă sau mai deschisă decât restul danturii și pot afecta estetica zâmbetului.
Dr. Marina Totolan
timp de citire • 10 min
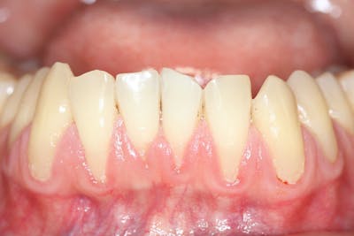
Caria de colet este o afecțiune dentară care apare în zona dintre coroana dentară - partea vizibilă a dintelui - și rădăcina dintelui.
Dr. Anaid Strugaru
timp de citire • 13 min
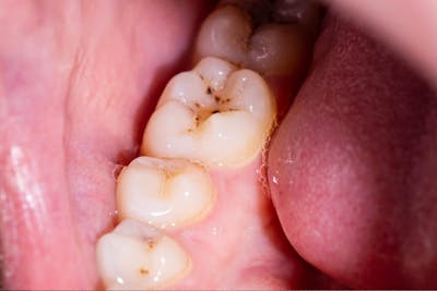
Petele negre pe dinți pot fi o problemă estetică și pot indica diverse probleme de sănătate orală. Aceste pete pot apărea atât la adulți, cât și la copii, și pot avea multiple cauze
Servicii complete de stomatologie, deschis 7 zile din 7, si programări online

Servicii complete de stomatologie, deschis 7 zile din 7, si programări online

Centrele noastre sunt deschise 7 zile pe săptămână pentru ca tu să beneficiezi de serviciile noastre în timpul tău liber.
7 zile
pe săptămână
De ce noi?
Primul centru de întreținere a zâmbetului frumos, curat, si alb.





